目次
前歯のすきまが気になっていませんか?

この記事で取り上げている症例では、ふぞろいな前歯のすきまを、セラミッククラウンで整えました。前歯は見た目の印象を大きく左右するため、全体のバランスがとても重要です。
重要なワード:術前矯正(じゅつぜんきょうせい)
気になる前歯のすきまを閉じたい

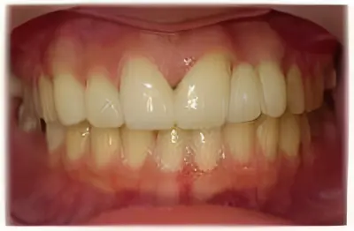
上前歯に大きなすきまと歯の欠損があります

セラミッククラウンで歯のすきまをバランス良く整えました
この方は先天的に前歯の一部が欠損していたため、セラミッククラウンを用いてすきまを補いながら、歯の大きさや全体のバランスを整えました。
セラミッククラウンの形がすこし斜めになっていますが、気になる付け根部分は上唇がちょうどうまい具合に隠してくれますので、実際にはとてもバランスの整った、きれいな前歯に仕上がっています。
歯のすきまは矯正治療で治すのが理想です
歯のすきまは、できるだけ矯正治療で治すことをおすすめします。あるいは矯正治療で歯並びを整えてからセラミッククラウンで歯の大きさ形、欠損部分を仕上げるのが理想です。
セラミッククラウンだけで治すと、根の角度が斜めのままなので、この状態は決して健康的とは言えません。
まずは矯正治療で根の角度をまっすぐにして、それから欠損部分をセラミッククラウンによるブリッジ(あるいはインプラント)で補うのが、現時点でのベストな歯科治療と言えるでしょう。
この治療例のちょっと心配な点
厳密にこの治療例について考えた場合、やがて歯ぐきの健康が損なわれる可能性があります。
その可能性とは、前述しましたが、根が斜めのまま、まっすぐにセラミッククラウンをかぶせていますので、かむ力が根っこに対して斜めに加わり、やがてその圧力が歯槽骨を吸収させ、歯ぐきの退縮を起こさせる可能性があるという意味です。
そのような状態にならないためにも、定期的にそのあたりをしっかりと点検してゆく必要があります。
もちろん点検だけでなく、必要に応じて新たに治療を施すこともあると思います。
セラミッククラウンを用いた治療では、このような懸念点が常について回りますので、日々のお手入れと定期点検は欠かせないものとなります。
矯正治療をしておくと、根もセラミックも長持ちします
審美治療の前に矯正治療を行うことを、「術前矯正」と言います。
術前矯正はとても効果があります。根がまっすぐになることで歯自体が安定します。
まっすぐになった根の上にセラミッククラウンをかぶせることにより、セラミック自体も長期にわたり安定します。
セラミッククラウンで前歯を美しく健康にするためには、必要に応じて術前矯正を行うことを視野に入れて、治療を検討することが大切です。
この記事のまとめ
ふぞろいな前歯の大きさやすきまをセラミッククラウンで整えてみました。前歯はバランスがとても大事です。
術前矯正の重要性も伝わりましたでしょうか?
美しさも大事ですが、その美しさが長持ちすることはもっと大事です。
歯ぐきが心配、前歯のセラミッククラウン
