目次
前歯の部分矯正をおさがしですか?

前歯だけを治したい、前歯だけの装置で治したいとお考えの方はきっと多いのではないでしょうか。
実際、これまで相談に来られた方の中にも、「気になってるのは前歯だけなんですよね~」という方がとても多かったと記憶しています。
そのような場合はできるだけ部分的で、目立ちにくく、安価で短期間で治せる矯正治療をご案内するようにしています。
すべての方のご要望を満たすことはできませんが、できるかぎりの対応を心がけています。
部分矯正にご興味がある方は、以下につづく3パターンの治療例、そしてスタートからゴールまでの治療例をぜひご覧ください。
そしてもっとくわしく知りたいという方は、無料相談をご利用ください。
→ 部分矯正ができるかどうかの基準を先に見る
→ もう一つの重要な条件についても見てみる
記事の最後にまとめ動画をご用意しています
前歯の部分矯正が適している方
- 前歯の一部に重なりやねじれがあり、他の歯には問題がない方
- 前歯以外にも歯列不正があるが、前歯のみを矯正したい方
- 過去に矯正治療を受けたものの、後戻りが起こった方
部分矯正を検討される方は年々増えています。比較的費用の負担が少なく、早めに治療が完了する点が多くの方に受け入れられ、当院でも人気の治療になっています。
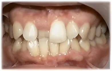
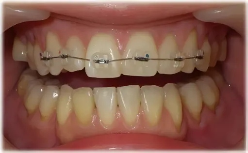
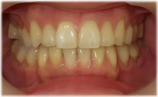
引っ込んでいる前歯を改善した治療例
この症例は、上前歯の1本が内側に入り込んでいて、そのほかの歯にも軽度のねじれがありました。


下の前歯にも歯列不正がありますが、患者さまの要望が「上の前歯だけを治したい」ということでしたので、上前歯だけの部分矯正を行いました。
内側に入り込んだ歯は歯ブラシが届きにくく、汚れが残りやすいため、着色やむし歯の原因になりやすい状態です。気づいたら、できるだけ早めに整えておくことをおすすめします。
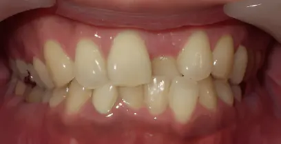
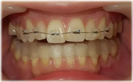
同じような症例を見てみましょう


この症例も、患者さまの要望が「下の前歯はそのままにしておきたい」ということでしたので、上前歯だけの部分矯正を行いました。
部分矯正が可能かどうかの判断基準は?
まず、奥歯がしっかりかみ合っていることが、部分矯正を行うための必須条件です。奥歯を失っている場合や、歯周病などで歯がぐらついている場合は、部分矯正を行うのはむずかしくなります。
また、前歯が大きい場合や、重なり・ねじれが強い場合も、部分矯正では対応が難しいことがあります。そのようなケースでは、全体的な矯正治療が必要になります。
部分矯正が可能なのは以下の通りです
奥歯がしっかりかみ合っていて、前歯の大きさがふつうであれば、部分矯正を行うことができます。
下の前歯にわずかな歯列不正があっても、ご自身があまり気になっていないのであれば、上前歯だけの部分矯正を行える可能性は十分にあります。
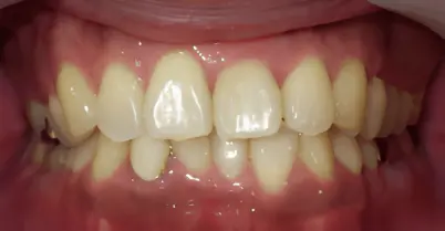
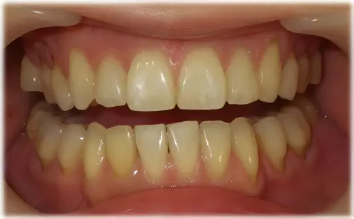
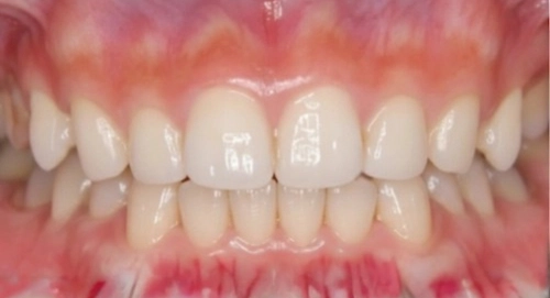
部分矯正後にホワイトニングを行った治療例



まず、内側に引っ込んでいた両側の2番目の歯を、適切な位置まで前方へ移動させました。
その後、仕上げとしてホワイトニングを行い、全体の色調をより美しく整えました。矯正とホワイトニングは相性が良く、患者さまの満足度がとても高い組み合わせです。
なお、えとう歯科では矯正治療後に、上の歯のホームホワイトニングをサービスで提供しています。
部分矯正のスタートからゴールまでの治療例

治療開始前の状態です
この患者さまは、上の前歯だけを整えたいと希望されました。(190107)

矯正装置装着
上の前歯に矯正装置を装着したところです。(190128)

バイトプレート使用開始
同日、下の歯にマウスピース(バイトアッププレート)を装着しました。これにより、顎の動きがスムーズになり、顎関節が正しい位置へと導かれます。バイトアッププレートは、必要に応じて使用します。

ほぼ完成
ほぼ完成に近い歯並びになりました。(190307)

矯正装置撤去
矯正装置をはずしたところです。(190527)

とても良いかみ合わせです
上写真と同日、かみ合わせた状態です。

保定開始(マウスピース)
同日、リテーナー(保定用マウスピース)を装着しました。透明ですので、装着していてもほとんど気づかれることはありません。
保定について
この症例では、約6ヶ月で矯正治療が完了しました。ワイヤーをはずした後は、リテーナー(保定装置)を装着して過ごします。
リテーナーを使うことで、かみ合わせが安定し、上下の歯がしっかりと整った状態を維持できます。
前歯の部分矯正は圧下(あっか)が行えない
前歯の部分矯正には、実は注意すべきむずかしさがあります。
それは、矯正治療でとても大切な工程である「前歯の圧下(あっか)」を、十分に行えない場合があることです。
圧下とは、前歯の位置を垂直的に押し下げる治療のことを指します。
この圧下が適切に行われないと、上下の前歯が強く当たってしまい、かみ合わせのバランスが崩れる原因になることがあります。
また見た目の面でも、前歯が水平的にきれいなラインを描いて並んでいることは、口元の美しさを引き立てるための重要なポイントです。
そのため、前歯の部分矯正を安全かつきれいに仕上げるには、もともと圧下を必要としない状態であることが、重要な条件の一つとなるのです。
参考:圧下について写真で解説


部分矯正だと圧下による改善がむずかしい場合がありますが、全体的な矯正であれば圧下による改善がうまくいきます
まとめ:部分矯正を効果的に取り入れましょう
部分矯正はすべての方に適用できるわけではありませんが、条件が合えば、見た目だけでなく機能の回復にも十分な効果を発揮します。しかも、比較的シンプルで、費用も抑えやすい治療法です。
部分矯正には、ワイヤーを使うものとマウスピースを使うものがあります。
少しでも気になる方は、一度歯科医院で相談してみましょう。専門家のアドバイスを受けることで、自分に合った最適な治療法が見つかるはずです。
まとめ動画
前歯の部分矯正は、小範囲の装置なので違和感少なめです。
費用も期間も少なめですむことが多いです。
奥歯がしっかりかみ合っていることがとても大事な条件です。

ご興味のある方や、ご検討中で迷われている方は、えとう歯科・無料相談をご利用ください。
おすすめグッズ
部分的な歯列不正の歯並びには、お口のシャワー(ジェットウォッシャー)や、デンタルフロスが効果的です
![]() 楽天で見る Amazonで見る | ヤーマン ジェットウォッシャー 口腔洗浄 お口のシャワー 価格:19800円 ~ |
スポンサーリンク・おすすめジェットウォッシャー
![]() 楽天で見る Amazonで見る | ジーシールシェロ デンタルフロス ミントワックス 30m × 6個 価格:1494円 ~ |
スポンサーリンク・おすすめデンタルフロス
前歯の部分矯正ができる場合、できない場合
シェアしていただけるとうれしいです♬



