目次
ホワイトニングは今や身だしなみの一部です

歯を白くする医療ホワイトニングは、安全性が高く、誰でも気軽に始められる身近な医療行為として広く受け入れられています。
おすすめはホームホワイトニング
「もう少し歯の色を明るくしたい。でも、歯を削ってかぶせるような治療はいやだな..」という方におすすめなのがホワイトニングです。
ホワイトニングは歯を削らずに白くすることができる歯の美白方法なのです。
さて、ホワイトニングにはさまざまな方法がありますが、大きく分けると「オフィスホワイトニング」と「ホームホワイトニング」の2種類に分類されます。
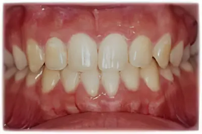
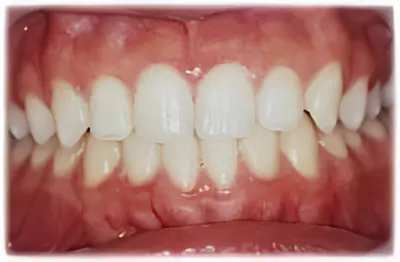
下の写真は、この2つの方法を組み合わせた治療例です。


ホームホワイトニングとオフィスホワイトニングの両方を行うホワイトニングのことをデュアルホワイトニングといいます。
歯科医院で行うのがオフィスホワイトニングです。
オフィスホワイトニングは歯の表面にホワイトニングジェルを塗布しておいて、光を照射します。すると薬剤の化学反応により、徐々に歯の透明感が高まり、歯は白く輝いて見えるようになります。
確実に白くするためには自宅でホームホワイトニングを行うことをおすすめします。
では次に、ホームホワイトニングについて解説します。
ホームホワイトニングの手順
下の写真はホワイトニングジェルをマウスピースに注入して歯に合わせているところです。




ホワイトニングライト
歯の型に合わせて作製したマウスピースに、ホワイトニングジェルを注入し、ゆっくりと口腔内に装着していきます。
装着して、わずかにジェルがあふれるくらいがちょうどよい量です。あふれたジェルが不快に感じられる場合は水で軽くゆすいでかまいません。
ただジェルが少ないと効果が現れにくいので、少ないよりは多いほうが良いと思います。
マウスピースの装着時間はジェルの種類によって異なりますが、えとう歯科では30分から1時間くらいを目安にしています。
*実施中に歯やはぐきがしみる場合は、装着時間を短くしたり、一日置きにしてみてください。
ウォーキングブリーチ


むし歯などが原因で神経を失った歯や、打撲などの外傷を受けた歯は、数年後に茶褐色に変色することがあります。
前歯に変色している歯があると目立ってしまいますから、気づいた時点で元の歯の明るさにもどしておきましょう。
この治療例ではペースト状の過酸化水素を歯の内側に作用させるウォーキングブリーチを行いました。
このような歯、つまり神経を失った歯は、通常のオフィスホワイトニングやホームホワイトニングでは白くならないことが多いようです。
ウォーキングブリーチの注意点
- 歯が薄くなっていたり亀裂が入っている歯はこの処置を行えないことがあります。
- 大きなつめものが施されている歯もウォーキングブリーチが行えないことがあります。
- ある程度歯に厚みがあることがウォーキングブリーチを行うための必要な条件となります。
- そのほか、かみ合わせが深い場合は裏ぶたがはずれて薬液漏れが起こる可能性がありますのでこの治療を行えないことがあります。
- ウォーキングブリーチは薬剤を歯の内側に作用させるという特性上、安全に行う必要があります。
*意外かもしれませんがホワイトニングの中でいちばんきれいに仕上がるのはウォーキングブリーチです。うまくいった時はほんとうに美しく自然に仕上がります。
ホワイトニング治療後のすごし方
ホワイトニング治療後は、徐々に色の後戻りが起こりますので、定期的なメンテナンスが必要です。
えとう歯科で現在行っているのは、主にホームホワイトニングですので、メンテナンスに関しましても、ご自宅でご自身で行っていただくようにしています。
このようなホワイトニングメンテナンスのことをセルフメンテナンスといいます。
ホワイトニングのセルフメンテナンスについて
えとう歯科では、ホームホワイトニングを始める際にジェルを2本お渡ししています。そのうちの1本を使って白くし、残っている1本をセルフメンテナンス用として冷蔵庫で保管していただいています。
色調がかげってきたら、保管しているジェルを取り出して1~2日ホームホワイトニングを行います。これだけで十分色調は回復します。
これがホームホワイトニングのセルフメンテナンスです。
一度ホワイトニングを行った歯には蓄積効果が備わりますので、セルフメンテナンスは1~2日で十分です。
ホワイトニングの蓄積効果について
ホワイトニングを受けた方の中には、メンテナンスを行っていないにもかかわらず、色調や光沢が長年維持されている方がいます。
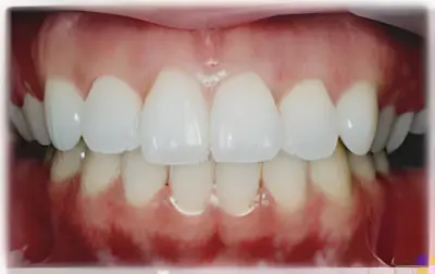
下の写真の方はホワイトニング実施後、10年ほどメンテナンスを行っていませんでしたが、ずっと白さが維持されていました。とてもめずらしいケースです。

ホワイトニング後の色もどりの原因
遺伝子によるもの
歯の色調は遺伝子の作用によって元の色調にもどろうとします。日焼けと同じようにホワイトニングで白くなった歯の色調は、いずれ元の状態にもどってしまいます。
注:最近わかったことですが、まったくの元の状態にはならないようです。
注:色もどりが起きても蓄積効果により、リカバリーが可能です。
色素沈着によるもの
そのほか飲食物の色素が付着して、歯の色が暗く見えてしまうことがあります。
厳密には色調の後もどりではありませんが、このような付着物はホワイトニングの見え方のさまたげとなりますので、ご自身の歯みがきと定期的なクリーニングで除去しておきましょう。

ご興味のある方や、ご検討中で迷われている方は、えとう歯科・無料相談をご利用ください。
まとめ、ホワイトニングを生活に取り入れましょう
前歯に大きなつめものや、さしばが入っていると、ホワイトニングを取り入れるのがむずかしいことがありますが、小さなつめものであったり、さしばが犬歯あたりであれば、十分ホワイトニングが可能です。
筆者の経験では、オフィスよりもホームのほうがだいじであると認識しています。
まずはホームホワイトニングに取り組んでみましょう。
ホワイトニングジェルが、歯に付着したまま残らないように、お口のシャワー(ジェットウォッシャー)や、デンタルフロスを使って清潔にしましょう
![]() 楽天で見る Amazonで見る | ヤーマン ジェットウォッシャー 口腔洗浄 お口のシャワー 価格:19800円 ~ |
スポンサーリンク・おすすめジェットウォッシャー
![]() 楽天で見る Amazonで見る | ジーシールシェロ デンタルフロス ミントワックス 30m × 6個 価格:1494円 ~ |
スポンサーリンク・おすすめデンタルフロス
この記事は矯正専門歯科サイト管理者のえとうよしたけが執筆しました。
歯を白くするならまずホワイトニング(歯の漂白)



