目次
インハウスアライナーとはマウスピースを院内作製することです
マウスピース矯正は、インハウスアライナーがおすすめです。

マウスピース矯正は人に気づかれずに歯並びを治せます。
マウスピース矯正のメリットは人に気づかれにくいことと、自分で取りはずしができることです。
食事や歯磨きの際にははずしますが、それ以外の時間はできるだけ装着しておく必要があります。
マウスピース矯正の特徴
マウスピースによる矯正治療は、ワイヤーによる矯正治療にくらべると、細かく歯を動かすという点では劣りますが、わずかに前に出ている歯を内側に移動させる場合や、ほんの少しねじれている歯を整える場合には効果があります。

マウスピースを装着している間に矯正機能が発揮され、はずしている間にわずかに歯の位置が戻ります。このくり返しでマウスピースによる矯正治療は進んでゆきます。
マウスピース矯正は自分のペースで、自分のタイミングで治療を進めることができますが、これはメリットでもあり、デメリットでもあります。うっかり入れわすれてしまうと、効果が低下してしまいます。
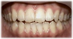
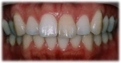
かんたんなマウスピース矯正治療例(歯を少し下げる)


この治療例では、左上真ん中の歯1本が少し前に出ているのを、マウスピース矯正で治しました。小さな重なりなので、下のSTL画像のほうがわかりやすいと思います。

マウスピース矯正は、わずかに前に出ている歯を内側に入れる際に効果を発揮します。そのほかマウスピース矯正は、矯正治療が終わってから生じる後戻りをリカバリーする際にも効果を発揮します。
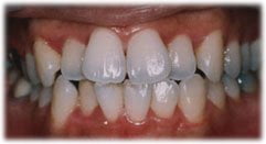
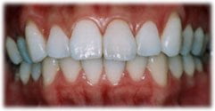
ややむずかしいマウスピース矯正治療例(重なりを改善)


マウスピース矯正は内側にある歯を前に出す場合、とても時間がかかります。動かす歯の本数が多い場合や重なりが強い場合も時間がかかります。
この治療例は本来はワイヤーで治したほうが良いレベルですが、事情によりマウスピース矯正で治しました。とても時間がかかりました。
歯の色が気になる場合
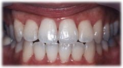
マウスピース矯正後にホワイトニングを行った治療例



左上真ん中の歯がかなり前方に突出している状態でしたがマウスピース矯正により、なんとか歯列におさめることができました。
マウスピース矯正が終わった段階でホワイトニングを行いました。えとう歯科では矯正治療とホワイトニングはセットになっています。
マウスピース矯正の注意点
マウスピースを装着したままで飲食はできません。食べ物をかむと変形したり、割れたりしますので食事の際はかならずはずしてください。
着色料や甘味料の入っている飲料水を口にすると、マウスピースの変色につながりますのでご注意ください。唯一水だけは口にしてかまいません(炭酸水もだいじょうぶです)。
できるだけ長い時間装着することにより、効果が安定的に現れます。
マウスピースはしっかりおさまるところまで装着してください。おさまりが不足していると効果が現れにくくなったり、本来の目的とはちがう歯の動き方になることがありますので注意が必要です。
えとう歯科で対応できるマウスピース矯正システム
えとう歯科では、全体的なマウスピース矯正を行う場合はシースルーアライナー、前歯限定のマウスピース矯正としてはアソアライナーとクリアアライナー、1~2本の歯を移動させる場合のマウスピース矯正としてエシックス(ディボット&ウィンドウ)をご用意しています。
そのほか最近は口腔内スキャナーで撮影したスキャンデータをモデリングソフトで加工し、院内で出力~作製したインハウスアライナー(院内完結型マウスピース矯正)を積極的に採用しています。

口腔内スキャナー

3Dプリンター
インハウスアライナー
インハウスアライナーとはマウスピース矯正を行う際のマウスピースを歯科医院で作製するシステムのことです。
マウスピース矯正はそれがどんなに良いシステムであっても患者さま自身がきちんとマウスピースを装着する意志がなければ思い通りには治ってゆきません。患者さまが意欲的に治療を受けたくなるように歯科医師が導いてゆけるかどうかがカギとなり、そこに差が現れ、治療期間や仕上がりに大きく関わってくるものだと思います。
その点インハウスアライナーは口腔内の変化にすばやく対応できるので常に適合の良いマウスピースを使用していただくことができます。また適切なタイミングで微調整を行えることも大きなメリットとなり、快適さと安心の中で矯正治療を受けていただくことが可能となります。
部分矯正に向いていることがよくわかる
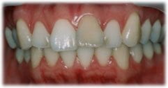
インハウスアライナー矯正治療例

左上前歯が前方に移動している歯をマウスピース矯正で改善している途中の状態です。さまざまな原因で歯の位置は移動してしまいます。原因はともかくとして修正が可能な段階でできるだけ早めに治しておくことをおすすめします。
マウスピース矯正は生活の中に自然にとけこんでくれますので、歯列不正の程度が部分的で軽度であれば苦痛も少なく、比較的短期間で改善することができます。
インハウスアライナーの工程
口腔内スキャナーは主にSHINING3D社製のAoralscan3を使用しています。
モデリングソフトはメッシュミキサーとブレンダーを主に使用しています。
3DプリンターはPhrozen社製Sonicシリーズを主に使用しています。
アライナー=マウスピース、同じものを指します。
工程を4つに分けて説明しましたが、来院が必要なのは1)のみです。その次の来院はアライナー(マウスピース)が完成したあとになります。
この記事のまとめ

マウスピース矯正は人に気づかれずに歯並びを治せます。しかも比較的違和感少なめです。マウスピース矯正はアライナー矯正とも呼ばれています。
マウスピース矯正はインハウスアライナーがおすすめ
