目次
全体的な歯列不正の治し方や治療例

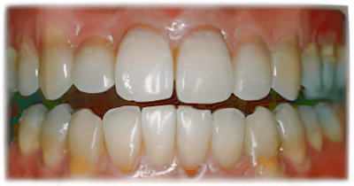
全体的な歯列不正は少々時間がかかりますが、劇的に治るのは大きなメリットです。
治ってゆく変化のようすもわかりやすいので、最後までモチベーションを維持できる点もメリットです。
重要なキーワード:歯列不正、劇的な変化
歯並びが悪いと、体にも悪い影響が出ることがあります
いちばん影響が出やすいのは「咀嚼(そしゃく)」です。歯並びが悪いと、食べ物をしっかりかめていない可能性があります。
食事を通して得られる栄養は、健康の維持や体の成長に欠かせない大切なもの。だからこそ、しっかりかめる歯並びとかみ合わせを整えて、健やかで快適な毎日をすごせるようにしましょう。

次に影響が出やすいのは「姿勢」に関する問題です。
かみ合わせが左右にずれていたり、深すぎるかみ合わせだったり、上下にすきまのある開咬(かいこう)状態だったりすると、全身の筋肉が十分に機能していない可能性があります。

体を支える骨格や筋肉は、想像以上にかみ合わせと深く関係しています。
全身の筋肉がスムーズに機能し、バランスのとれた姿勢を保てるようにするためにも、かみ合わせをきちんと整えておく必要があります。
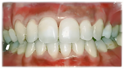
大きく傾いた歯並びを整えた治療例
歯並びに傾きがあると、奥歯がかみ合わなくなることがあります。
そのような状態が長く続くと、慢性的な体調不良を起こしていることがあります。


全体的な歯列不正は、大がかりな治療になりやすいことがデメリットかもしれませんが、劇的に治ることが何よりも大きなメリットです。
途中の治ってゆく様子や変化もわかりやすいので、治療に対するモチベーションが保たれやすいこともメリットとして感じられます。
矯正治療はモチベーションが低下しないことがとても大事ですので、そういった気持ちの部分が失われずにゴールを迎えることができるという点で、全体的な矯正治療は多くの方に喜んでいただいています。
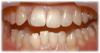
わずかに傾いた歯並び整えた治療例


比較的短期間にスムーズに改善できました。
矯正治療における抜歯について
矯正治療を始めるにあたって、以前は部分的に歯を抜いて治療を進めることがごく一般的でした。
しかし近年では、できるだけ歯を抜かずに治す「非抜歯矯正」が盛んになっています。
とはいえ、すべてのケースで非抜歯が最適というわけではありません。
無理に歯を抜かずに治そうとすると、場合によっては口元が前に出た印象になったり、バランスが崩れてしまうこともあるからです。
そのような事情から、当院では患者さまの骨格や歯の位置、口元の印象などを総合的に判断したうえで、抜歯矯正にも積極的に対応しています。
特に「前歯をしっかり後ろに下げたい」というご要望がある方は抜歯して治したほうが良い場合が多いです。
非抜歯矯正について
歯を抜かずに治す場合は、歯の側面を少しだけ削ってスペースを確保するディスキングや、歯並びをわずかに横に広げる方法を併用しながら治してゆきます。
そのほか、アンカースクリューという小さなネジを使って歯を効果的に動かす方法も活用しています。
まとめ 全体的な歯列不正の改善はとても大事です
全体的な歯列不正は見た目の問題だけでなく、放置すると健康にも影響を及ぼします。
ワイヤー矯正やマウスピース矯正で、美しい歯並びと健康的な口腔環境を手に入れましょう。
気になったら歯科医院で相談してみましょう。
専門家のアドバイスを受けることで最適な治療法がきっと見つかるはずです。

ご興味のある方や、ご検討中で迷われている方は、えとう歯科・無料相談をご利用ください。
全体的な歯列不正の歯並びには、お口のシャワー(ジェットウォッシャー)や、デンタルフロスが効果的です
![]() 楽天で見る Amazonで見る | ヤーマン ジェットウォッシャー 口腔洗浄 お口のシャワー 価格:19800円 ~ |
スポンサーリンク・おすすめジェットウォッシャー
![]() 楽天で見る Amazonで見る | ジーシールシェロ デンタルフロス ミントワックス 30m × 6個 価格:1494円 ~ |
スポンサーリンク・おすすめデンタルフロス
参考記事
この記事は矯正専門歯科サイト管理者のえとうよしたけが執筆しました。
全体的な歯列不正の治し方




