目次

セラミッククラウンは白いかぶせもののことです。ジルコニアセラミッククラウンがおすすめです。
セラミッククラウンは歯の色、形、大きさを変えることができます
セラミッククラウンはそのほかの特徴として、歯の角度も変えることができますので、軽度の歯列不正を改善することができます。
現在多く用いられているセラミッククラウンは、ジルコニアセラミッククラウンとイーマックスプレスです。
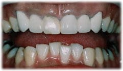
上前歯6本セラミッククラウンの治療例


この治療例のようにはぐきのラインが直線的な場合は、仮歯の段階で自然な形に整えてからセラミッククラウンを作製します。そうすることで見栄えする美しい口元に仕上がります。
治療前の上前歯にはメタルボンドというセラミッククラウンが装着されていました。メタルボンドは歯の裏側が金属で覆われている古いタイプのセラミッククラウンです。
治療後はオールセラミッククラウンと呼ばれる金属を使用しないセラミッククラウンで仕上げました。
セラミッククラウンの治療の流れは以下のようになります。
1) 古くなったセラミッククラウンをはずします
2) 仮歯に置きかえます
3) 必要があれば はぐきの処置を行います
4) 型とり
↓
セラミッククラウンの作製
↓
5) セラミッククラウンの完成~装着
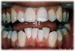
ねじれた前歯をセラミッククラウンでまっすぐに改善
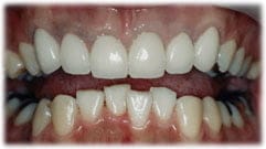
上前歯1本セラミッククラウンの治療例
セラミッククラウンは1本から治療が可能です。
1本の場合、まわりの歯の色、形、歯並びに調和した違和感のない状態に仕上げる必要があります。


この治療例ではまん中右側にプラスチック製のクラウンが装着されていました。プラスチック製のクラウンは時間がたつと変色や変形が起こりますので、変化が感じられた時点で新しくしておくのが理想です。
新しく作りなおす場合、再度プラスチック製のクラウンにすることもできますが、精度と品質にすぐれたセラミッククラウンをおすすめします。セラミッククラウンは変色や変形が起こりにくいので安心です。
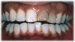
上前歯2本セラミッククラウンの治療例
神経の治療をした歯は時間がたつと濃く変色します。そのような歯を白くする場合、ウォーキングブリーチというホワイトニングを行うこともありますが、変色の度合いが強い場合は歯の補強を兼ねて丈夫なセラミッククラウンを施しておくことをおすすめします。なぜならこのような歯はそのままにしておくと割れることがあるからです。


この治療例では明らかに歯の色が濃く変色していて一部かけていましたので、見た目の改善と補強を兼ねてセラミッククラウンを施しました。再度プラスチック製のクラウンを応用することもできますが、まわりの歯の色に合わせやすいのはセラミッククラウンです。
歯のねじれ、重なりをセラミッククラウンで改善
歯の大きさ、色、ねじれ、重なりをセラミッククラウンで改善
この記事のまとめ

セラミッククラウンは白いかぶせもののことです。ジルコニアセラミッククラウンがおすすめです。
セラミッククラウンは白いかぶせもの
