目次

ラミネートベニアが突然割れてしまうととても心配ですね。かけ方が小さいときは樹脂で補修し、大きくかけたら新しくすることで対応します。
気になるラミネートベニアの破損について
ラミネートベニアの破損はなぜ起こる?その修復方法
うっかり硬いものを噛んだときや、スプーンやコップを歯にぶつけてしまったときにラミネートベニアは割れたり、はずれたりすることがあります。
そのほか歯ぎしりや食いしばりの圧力がラミネートベニアを破損させてしまうこともあります。



ラミネートベニアのかけ方がほんの一部だけの小範囲である場合は、ラミネートベニアの色調に合った樹脂製の材料をつめて状態を回復します。
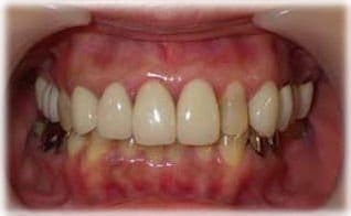
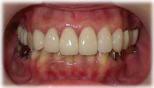
広い範囲でかけている場合や全体的にはがれている場合は、新しくラミネートベニアを作製することにより、状態を回復します。
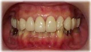
この治療例はやや広い範囲のかけ方でしたので、新しくラミネートベニアを作製して状態を回復しました。
ラミネートベニアの破損はマウスピースで予防しましょう
歯ぎしりが強い方や歯ぎしりをしている可能性のある方は、睡眠時にマウスピース(ナイトガード)を装着しておくことをおすすめします。
マウスピースを装着することにより、ラミネートベニアの破損を防ぐことができ、良好な状態を長く維持できます。
ラミネートベニア治療に関連して氷食症について
氷食症(ひょうしょくしょう)といって、頻繁に氷をガリガリと食べたくなる状況が続くことがあります。
ラミネートベニア治療をお考えの方でそのような状況が続いている方は、ラミネートベニア装着後に破損する可能性がありますので、慎重に検討されることをおすすめします。
ラミネートベニアが割れたときにあなたがとるべき具体的な行動
割れた破片をできるかぎり集めて保存しておいてください。
割れた破片を参考に、色、形、厚さなどを再現しますので保存しておいていただけるととても助かります。
きれいにはがれ落ちて表面に破損がなければ再接着が可能ですので、大切に保管しておいてください。
割れたりはずれたりしたラミネートベニアをお持ちいただく際にティッシュやコットン、アルミホイルなどに細かくぎゅうぎゅうに包んで保管するのはのぞましくありません。
ティッシュやコットンは繊維がからんで取り出すのが大変ですし、そうこうしているうちにさらに割れてしまうことがあるからです。
理想的な方法は、ティッシュに「ゆるく」包んでから、小さな箱かチャック付きのビニール袋に入れて圧がかからないようにしてお持ちいただくなどです。
この記事のまとめ

ラミネートベニアが突然割れてしまうととても心配ですね。かけ方が小さいときは樹脂で補修し、大きくかけたら新しくすることで対応します。
ラミネートベニアが割れたときの治療方法
