目次
矯正用ブラケットの装着手順とは?
こんにちは!この記事をご覧いただきありがとうございます。
今回は「矯正用ブラケットの装着手順」について、歯科医院で行われる実際の流れを7つのステップに分けてわかりやすくご紹介します。
まずは、「なぜ矯正治療でブラケットが必要なのか?」という基本からお話ししましょう。

矯正治療でブラケットを使う理由
矯正用ブラケットは、歯にワイヤーを固定するための小さな装置です。これを歯の表面に装着することで、歯を理想的な位置に少しずつ動かしていくことができます。
【ポイント】
- ブラケットは正確な位置に装着される必要がある
- ワイヤーと連動して歯を動かす役割
- 長期間にわたり歯に力をかけ続けることができる
そのため、装着時には非常に繊細で正確な処置が求められるのです。
装着前に知っておきたい準備事項
装着当日までに、次のような準備をしておくとスムーズです。
- 歯みがきをしっかりしておく(歯科でもクリーニングされますが、念のため)
- 前日は睡眠をしっかりとり、体調を整える
- 当日は時間に余裕を持って来院する
矯正のスタートは緊張するかもしれませんが、事前に流れを知っておくだけで安心感が違いますよ。
矯正用ブラケットの装着手順(7ステップ)
ここからは、いよいよ装着の具体的な流れを説明していきますね。

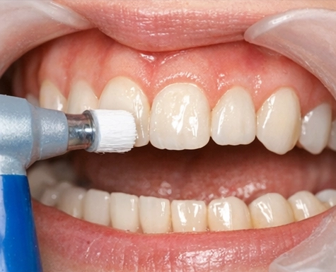
まずは、歯の表面を専用のペーストや器具で丁寧に清掃します。
汚れや油分が残っていると、接着剤の効果が弱まってしまうためです。
その後、風を当てたり綿で水分を取り除いて、歯の表面を乾燥させます。
この工程がしっかりしていないと、ブラケットが外れやすくなるのでとても重要です。
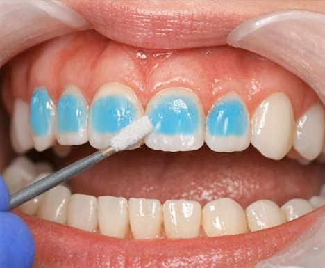
2. 歯面処理(エッチング)

次に、歯の表面を軽く溶かす処理を行います。これをエッチングと言い、リン酸ジェルを塗って数十秒待ちます。
目的は、歯の表面に細かい凹凸をつけて接着剤の食いつきを良くすること。
少しチクチクする感じがあるかもしれませんが、痛みはほとんどありませんのでご安心ください。
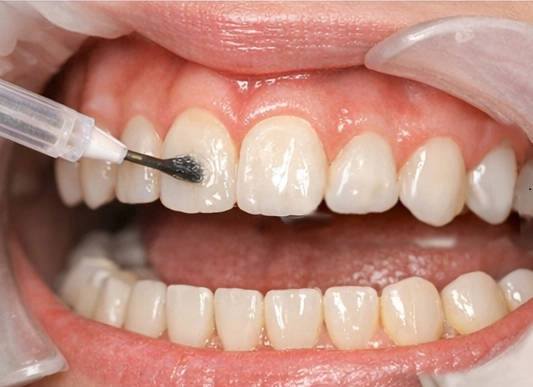
3. プライマー(接着剤)を塗布

エッチング後、水洗いして乾燥させた歯に、プライマーと呼ばれる接着剤を塗ります。
この段階での精度が、装着の安定性に関わってきます。
透明の液体を薄く塗り、光を当てて軽く固めていきます。
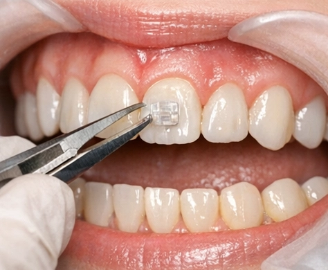
4. ブラケットの正確な位置決め

ここがもっとも重要な工程です。歯科医師が1本ずつの歯に対して、ブラケットを正確な角度と位置で貼り付けます。
わずかなズレが、後々の歯並びに影響するため、集中力の必要な作業です。
患者さんは少し口を開けたまま静かにしている必要がありますが、痛みなどは感じません。
5. 光照射でブラケットを固定

位置を決めたブラケットに再び光を当て、接着剤を完全に硬化させます。
専用の青い光を使って数十秒ほど照射します。
この工程でしっかりと固定され、日常生活でも取れにくくなります。
6. ワイヤーの装着と調整

すべてのブラケットが装着されたら、歯列に沿ってワイヤーを通します。
ワイヤーを通すことで、歯に力が加わり、少しずつ動いていくようになります。
最初の調整は弱めに設定されることが多く、徐々に力を強めていきます。
7. 噛み合わせや最終チェック

以上が「矯正用ブラケットの装着手順(7ステップ)」です。
本記事が、少しでもご参考になれば幸いです。
なお、続編として、ブラケットおよびワイヤー装着後の注意点や、食事に関するアドバイスをまとめた記事の公開も予定しています。
矯正用ブラケットの装着手順(7ステップ)
シェアしていただけるとうれしいです♬

